
Antofagasta mantiene alta incidencia de tuberculosis con 136 nuevos casos en 2024
En 2024 se registraron 136 nuevos casos de tuberculosis en la zona, lo que mantiene a la región entre las tres con mayor incidencia. La seremi de Salud hizo un llamado a la prevención y detección temprana, especialmente en las poblaciones de riesgo.
30 de marzo de 2025
Durante 2024, la región de Antofagasta reportó un total de 136 nuevos casos de tuberculosis, cifra que la mantiene entre las tres regiones con mayor incidencia de la enfermedad en Chile. Así lo indicó la seremi de Salud (s), Leonor Castillo, quien resaltó la gravedad de la situación y enfatizó la importancia de la vigilancia sanitaria. "La tuberculosis no está erradicada de nuestro país. Cada año se detectan más de 2 mil 500 casos a nivel nacional. Es fundamental que estemos informados y alerta ante los posibles síntomas, sobre todo en las poblaciones de riesgo", destacó la autoridad.
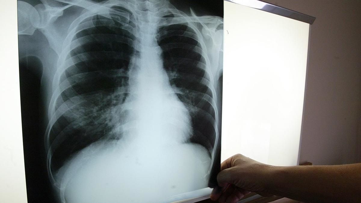
Para contextualizar, la tuberculosis es una enfermedad infecciosa causada por la bacteria Mycobacterium tuberculosis o bacilo de Koch, que afecta principalmente los pulmones, aunque puede comprometer otros órganos del cuerpo. Se transmite por el aire a través de las gotas microscópicas que expulsa una persona infectada al toser, lo que permite que otras personas sanas inhalen la bacteria.
En 2023, la tasa de incidencia nacional de tuberculosis alcanzó los 15,8 casos por cada 100 mil habitantes, lo que representa un aumento de 1,4 puntos respecto al año anterior. En la región de Antofagasta, la tasa en 2024 fue de 18,9 casos por cada 100 mil habitantes, superior a la media nacional y solo superada por Tarapacá y Arica y Parinacota.
El Día Mundial de la Tuberculosis, celebrado el 24 de marzo, destacó la importancia de la prevención y detección temprana. Christián Lombardi, referente del programa de tuberculosis de la Seremi de Salud, explicó que el síntoma más común de la enfermedad es la tos con flema que dura más de dos semanas, junto con fiebre, sudoración nocturna y pérdida de peso. "El diagnóstico es gratuito en el sistema público de salud para todos los ciudadanos, sin importar su previsión de salud", indicó Lombardi.
Asimismo, las personas con un sistema inmune debilitado, como adultos mayores, personas con diabetes, VIH positivo o en situación de calle, son especialmente vulnerables. Además, los migrantes provenientes de países con alta incidencia de tuberculosis, como Bolivia y Perú, representan más de la mitad de los casos confirmados en la región.
Finalmente, con el objetivo de sensibilizar sobre la enfermedad y sus riesgos, la seremi de Salud hizo un llamado a seguir las recomendaciones de prevención y a buscar atención médica ante los primeros síntomas.



































